Já é sabido que a Inteligência Artificial (IA) é uma poderosa aliada no desafio de aumentar a produtividade das empresas. Segundo o Global Artificial Intelligence Study da PwC, a estimativa é de que essa tecnologia aumente, até 2030, o PIB global em 15,7 trilhões de dólares.
A área da saúde é uma das beneficiadas com a inteligência artificial. A IA conta com benefícios tanto para instituições e médicos, quanto para pacientes.
Seu uso é especialmente vantajoso em clínicas de radiologia e diagnóstico por imagem, que lidam com um grande volume de requisições de exames e laudos e, cuja aplicação, aos poucos, está se tornando um pré-requisito para CDIs que almejam oferecer um serviço de saúde 5.0.
Entenda neste artigo qual o papel da IA na medicina diagnóstica e conheça alguns exemplos de inteligência artificial para radiologia.
O papel da inteligência artificial na radiologia e diagnóstico por imagem
O principal objetivo de aplicações com inteligência artificial é aprimorar e auxiliar as atividades humanas, e não substituir as pessoas.
Portanto, o trabalho do radiologista não é descartado, apenas aperfeiçoado. Afinal, um diagnóstico radiológico não pode ser emitido apenas com base nas imagens.
Independente da especialidade, o médico precisa avaliar diferentes aspectos antes de elaborar um laudo, como histórico do paciente, sintomas, patologias existentes, predisposições genéticas e familiares, saúde mental e até mesmo questões socioeconômicas e ambientais.
As ferramentas com IA não podem fornecer ou assinar diagnósticos, mas sim, apoiar os profissionais no reconhecimento e diferenciação de imagens através de sugestões de achados clínicos.
Desse modo, um radiologista precisa assumir a responsabilidade profissional e ética pelo laudo, mesmo que com este auxílio. Algumas áreas são mais beneficiadas com os avanços da tecnologia.
É o exemplo de exames complexos, como tomografia computadorizada (TC), ressonância magnética (RM) e imagens nucleares. O mesmo vale para órgãos de diagnóstico mais difícil, como pulmões, mamas e cérebro e em certas especialidades como mastologia e oncologia.
Baixe agora >> [E-book] Saúde 5.0: vantagens, aplicações e tecnologias essenciais
Como a tecnologia apoia os médicos radiologistas?
Com a utilização da IA, a expectativa é que o radiologista melhore o gerenciamento de tempo ao encurtar as atividades manuais, principalmente no que diz respeito à quantificação.
Com isso, o profissional dedica mais tempo à análise das imagens e histórico do paciente, e menos às atividades operacionais.
Antigamente, por exemplo, para detectar a coronária, era necessário fazer segmentações manualmente. Hoje, o software faz isso — segmenta, caracteriza as placas ateroscleróticas e até ajuda a dar a gradação de estenose.
Além disso, a IA ajuda na produtividade e na qualidade do trabalho dos profissionais das instituições.
Alguns algoritmos de IA muitas vezes conseguem quantificar igual ou até melhor do que o próprio radiologista. A variabilidade das medidas realizadas por algoritmos tendem a ser menores e, portanto, garantem mais precisão.
Quais as principais vantagens de utilizar soluções de Inteligência Artificial na radiologia e diagnóstico por imagem?
As ferramentas de IA fazem parte da Radiologia há um bom tempo, como na análise de densitometrias ósseas, no reconhecimento de voz para elaboração de laudos e na segmentação automática das artérias coronárias.
Foram ganhos expressivos quando implementados e que agora passam despercebidos por estarem incorporadas no nosso dia a dia.
Ferramentas mais modernas de IA, com grande impacto na produtividade radiológica, continuam em fase de validação. Alguns benefícios são:
- Aumento da produtividade e melhor gestão radiológica: ao tirar do médico radiologista a execução de atividades operacionais, a Inteligência Artificial permite que esses profissionais economizem tempo e consigam analisar mais exames sem perder a precisão diagnóstica;
- Agilidade no diagnóstico de casos urgentes: a IA ajuda na priorização de achados críticos e evita o progresso de doenças graves. Um exemplo é o tromboembolismo pulmonar e sangramento intracraniano, onde a ferramenta automaticamente alerta o radiologista;
- Maior segurança para o diagnóstico: os bancos de imagens usados nesse tipo de ferramentas são atualizados com frequência e contam com um número incomparavelmente maior de conteúdos do que livros e manuais radiológicos, aumentando a confiabilidade dos resultados.
Aplicações da inteligência artificial na radiologia
O desenvolvimento de soluções com IA é baseado em diferentes técnicas e conceitos, como a visão computacional e deep learning — um método baseado em redes neurais artificiais, que simula o comportamento do cérebro humano em um nível mais avançado.
Atualmente, softwares de radiologia com IA já são capazes de identificar características incomuns das imagens médicas, sugerindo possíveis achados clínicos que deverão ser avaliados pelo radiologista.
Na prática, essas inovações criam uma capacidade avançada de reconhecimento de imagens, a partir do processamento de bancos de dados volumosos e atualizados.
Confira algumas aplicações atuais:
IA ajuda a detectar casos raros e riscos de doenças
Certas patologias são difíceis de detectar, assim como o risco de uma pessoa desenvolver determinada doença. Soluções com IA contam com recursos capazes de auxiliar os médicos na detecção de casos raros e particularidades.
Além disso, quando os diagnósticos possíveis apresentam imagens muito parecidas ou extrema variabilidade, a IA proporciona mais segurança ao profissional na hora de laudar.
Risco de doenças cardiovasculares detectadas pela análise de retina
Em 2018, o Google Brain — uma divisão de pesquisa do Google dedicada à inteligência artificial —, desenvolveu um programa de escaneamento ocular com um algoritmo específico para identificar dados da retina utilizados para detectar o risco de doenças cardiovasculares — como idade, sexo, tabagismo e pressao arterial sistólica.
Conforme os dados divulgados pela organização, a ferramenta registrou 70% de acertos nos testes de imagens de pessoas reais que poderiam ter um ataque cardíaco ou um derrame em cinco anos.
Atualmente, esse tipo de análise de retina é realizada apenas por oftalmologistas. Com o aperfeiçoamento de ferramentas e aplicações IA, a modalidade pode ganhar maior alcance e praticidade.
Um exemplo é quando a instituição dispõe de um retinoscópio, mas não tem um especialista para interpretar as imagens, principalmente para a triagem de normalidade.
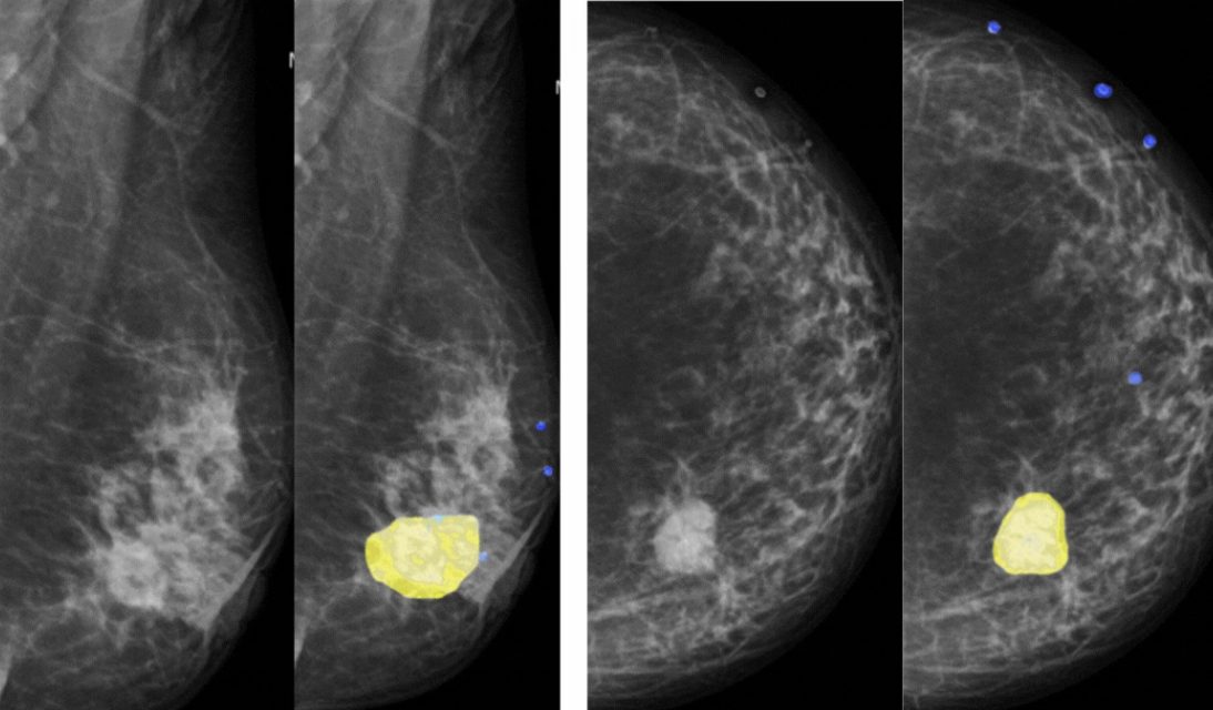
Inteligência Artificial para mamografia
A análise de câncer de mama implica na inspeção de mamografias para detectar lesões e tumores.
Com recursos especializados para essa modalidade de exame, a inteligência artificial pode realizar a segmentação automática de massa mamária mostrando a evolução constante nas análises de mamografia e sugerindo achados mamários com classificação de densidade e malignidade das lesões (BiRads). Recursos como esse também podem ajudar na triagem, sinalizando a prioridade no atendimento.
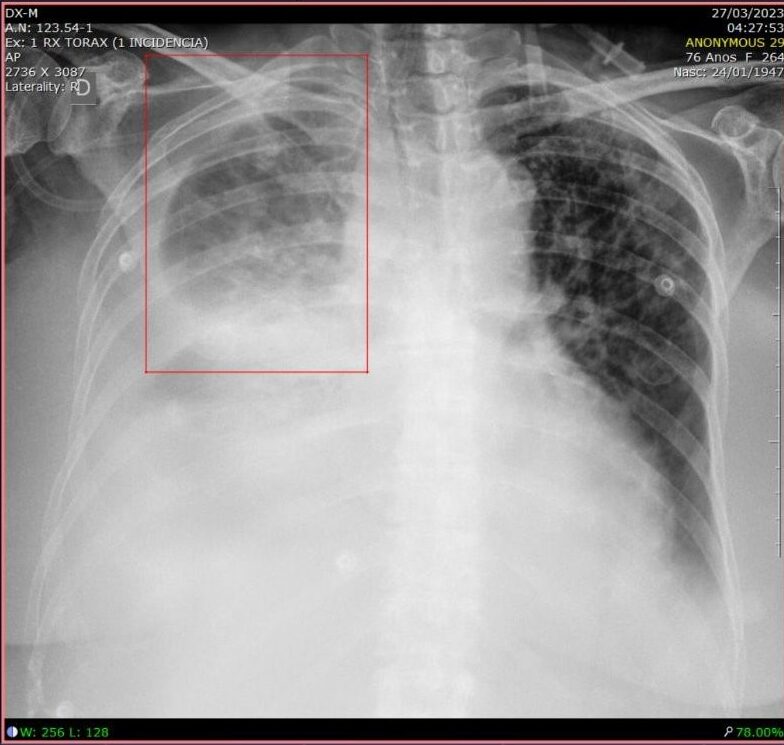
Raio-X de pulmão com Inteligência Artificial
A pneumonia é uma infecção pulmonar responsável por mais de 600 mil internações por ano no Sistema Único de Saúde (SUS) brasileiro.
O diagnóstico de pneumonia em uma radiografia de tórax envolve especialistas treinados e cruzamento de informações de histórico clínico, sinais vitais e exames laboratoriais.
Para ajudar nesse desafio, algoritmos de machine learning podem detectar manchas de opacidade pulmonar (derrame pleural, cardiomegalia, edema pulmonar agudo, nódulos pulmonares) e sinalizá-las em caixas para avaliação médica, especificando a localização e o tamanho de qualquer infecção detectada.
Isso traz produtividade para os médicos sobre as decisões de tratamento (pneumonia leve versus pneumonia severa, por exemplo) e também retroalimenta o sistema à medida que os médicos validam ou descartam o achado clínico sinalizado pelo computador.
Cálculo de idade óssea com IA no raio-x de mãos e punhos
Ferramentas com esse foco são capazes de estimar a maturidade óssea de um indivíduo baseando-se nas dimensões apresentadas na imagem de raio-x de mãos e punhos.
A análise de idade óssea é especialmente relevante em áreas relacionadas à pediatria. Neste caso, o algoritmo de cálculo tem mais relevância como base de suporte ao diagnóstico do médico responsável.
IA para cálculo de sarcopenia
Classifica-se como sarcopenia a alteração da musculatura esquelética caracterizada pela redução da força e da massa muscular secundária ao envelhecimento, que compromete o desempenho físico do indivíduo.
Ferramentas de IA com essa especialidade podem sinalizar achados clínicos e realizar uma medição automatizada da distribuição de gordura abdominal acompanhada de avaliação da massa muscular.
Marcador automático de vértebras com Inteligência Artificial
Outra aplicação possível é o marcador automático de vértebras humanas e veterinárias. Essaé uma ferramenta do PACS Pixeon Aurora que auxilia na localização, marcação e visualização das vértebras no plano sagital, axial e coronal.
O profissional só precisa fazer a primeira marcação e as demais a ferramenta realiza automaticamente.
Com isso, é possível aumentar a produtividade e a precisão nos exames de TC e RM. Veja como esse recurso funciona:
Esse é apenas um dos muitos recursos que fizeram o PACS da Pixeon ser eleito quatro vezes o melhor da América Latina pela instituto de pesquisa norte-americano Klas Research.
Sobre a Pixeon
Somos a empresa brasileira com o maior portfólio de softwares para o mercado de saúde.
Nossas soluções atendem hospitais, clínicas, laboratórios e centros de diagnóstico por imagem, tanto em gestão (HIS, CIS, RIS e LIS), quanto no processo diagnóstico (PACS e Interfaceamento laboratorial), garantindo mais desempenho e alta performance em instituições de saúde.
Nosso PACS Pixeon Aurora foi premiado quatro vezes pela Klas Research. Além disso, o nosso sistema de gestão para medicina diagnóstica, Pixeon Korus, atende quase 2 milhões de pacientes e processa mais de 9 milhões de exames anualmente.
Já são mais de 3 mil clientes no Brasil, Argentina, Uruguai e Colômbia que confiam nas nossas tecnologias. Solicite um contato comercial e surpreenda-se com tudo que o nosso PACS é capaz!







